胡迪主任,今天向大家推荐了解“气道播散对早期肺癌患者生存率的影响”。
自从2011年由国际肺癌研究协会、美国胸科协会和欧洲呼吸协会(IASLC/ATS/ERS)联合颁布肺癌分类以后,2015年世界卫生组织非常明确地认定气道播散是肺癌转移的一种额外方式。
“气道播散”(Spread through air space简称STAS)是肿瘤细胞离开肺癌肿块边缘,进入到周边肺实质肺泡和毛细支气管内,在病理切片检查时,可以看到STAS癌细胞,表现为微乳头细胞簇群、实体细胞巢或单个癌细胞。很多文献报道,具有气道播散的早期肺癌(I期)病人,手术后复发率增加,总体生存率比没有气道播散的病人低。
目前,STAS已经被纳入在癌症转移定义范畴。浸润转移可以将早期肺癌在肺泡内贴壁生长与微浸润腺癌(MIA)和原位腺癌(AIS)相区别。STAS和癌症浸润生长、淋巴转移、血运转移以及侵犯脏胸膜一样,属于肿瘤转移的方式。既然STAS代表着一种肺癌转移的方式,病理学诊断时就不把这种肿瘤细胞类型算作肿瘤内综合组织学类型中的一个亚型,在测量癌症肿块大小时,也不能把STAS包含进去。
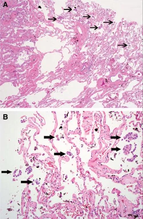
图中展示气道播散(STAS)作为肺癌转移的一种方式。A图中箭头所指STAS癌细胞,存在于肿瘤边界之外的肺实质气道内。B图箭头所指STAS呈微乳头细胞簇群和单个肿瘤细胞。
日本九州大学医学研究院外科学Gouji Toyakawa博士,近日在《胸外科年报》上发表论文,题目是《气道播散在可切除、病理学I期肺癌中存在显著影响意义》。(DOI:10.1016/j.athoracsur.2018.01.037)
作者从2003年1月到2012年12月收集了417例肺腺癌手术切除病例,其中276例病理分期为I期的病人被纳入研究对象。他们在显微镜放大200倍的情况下,根据STAS情况将病例分为三个类别:1)没有STAS;2)低STAS(看到1-4个癌细胞或STAS簇群);3)高STAS(看到大于等于5个癌细胞或STAS簇群),术后随访中位数5年,以此来评估STAS与临床-病理分期以及手术后生存期相互之间的关系。
在这个276例病人中,153(55.4%)例STAS阳性,其中44.6%为没有STAS,17.4%为低STAS,38.0%为高STAS。研究表明STAS阳性率与下列因素具有显著差异:
1)血液中癌胚抗原CEA异常升高,STAS阳性率高
2) CT放射影像测量肿块大小都<3厘米,但总体规律为直径越大,STAS阳性率越高;
3)磨玻璃样结节中实性成分比例(C/T Ratio)越高,STAS阳性率越高;
4) PET-CT检查,大于最大标准摄取值(SUVmax>2.5),STAS阳性率越高;
5)病理解剖肿块标本越大,STAS阳性率越高;
6)肿瘤胸膜侵犯,STAS阳性率高;
7)有肿瘤组织浸润生长的,STAS阳性率高
STAS阳性与表皮生长因子受体基因突变和凋亡Ligand-1表达无显著关系。
术后5年肺癌无复发生存率(RFS)以及术后肺癌总体生存率(OS),STAS阳性的病人分别为71.7%和91.3%,STAS阴性病人分别为89.5%和98.3%,STAS阳性病人显著降低。也就是说,STAS阳性病人与STAS阴性相比,术后五年肿瘤复发率显著增多,并且肺癌相关的生存率明显降低。
在多因素分析中发现,STAS是一个影响早期肺腺癌病人手术后肿瘤复发和生存期的独立风险因子。STAS阳性说明了早期肺癌已经发生了气道播散转移,预示着病人手术后的预期效果比STAS阴性的差。
这个论文给临床的意义,包括:
1)术前明确STAS存在,有助于胸外科医生制定合理的手术方案,根除STAS肿瘤转移的肺组织。
2)判断有STAS转移,可以根据下列参数:
a)CT片上C/T Ratio>=0.25
b)PET-CT SUVmax>=2.5
c)CT片上显示为实性结节
3)在本文153例STAS阳性病人中,有17例(11.1%)表现为磨玻璃样结节,C/T Ratio<=0.25, CT片上显示为非浸润性肿瘤,如果做肺段切除,似乎手术能有效切除肿块。作者提出,需要改进CT技术,提高对磨玻璃结节中捕捉实性成分的能力。作者在临床实践中,针对某些CT片上非侵润性肺结节,仍然采用肺叶切除和淋巴根治术。
4)作者本研究中STAS阳性比例为55.4%,根据其他文献报道,STAS阳性率分别为:38.0%,14.8%和52.4%。作者提出,每家医院病理科在制作标本切片时,存在技术差别,可能会影响到STAS检出率。特别需要注意的是,在切割标本时,可能将肿瘤细胞移位到其他气道组织中(STAKS),造成STAS阳性误判。因此,作者呼吁,采用精确的切片制作工艺,才能最大程度减少人为因素造成的误判。另外,有报道称,肺段切除或肺楔形切除术,STAS阳性率明显地比肺叶切除术少。因此,手术过程,手术术式或切割吻合过程,都会影响到病理切片STAS的阳性率。各个医院采用标准化手术方式,或许能减少STAS阳性率误差。
5)病理科医生,是检验STAS的主要责任人,他们对STAS的判读能力也是决定STAS阳性率的主要决定因素,如果病理科医生,将STAS认为是切片时人为移位的肿瘤细胞,或将移位的肿瘤细胞判定为STAS,都将提高假阴性率或假阳性率。因此,培训和考核病理科医生是一项重要的措施。